Polycystosis of kidney and liver

CASE

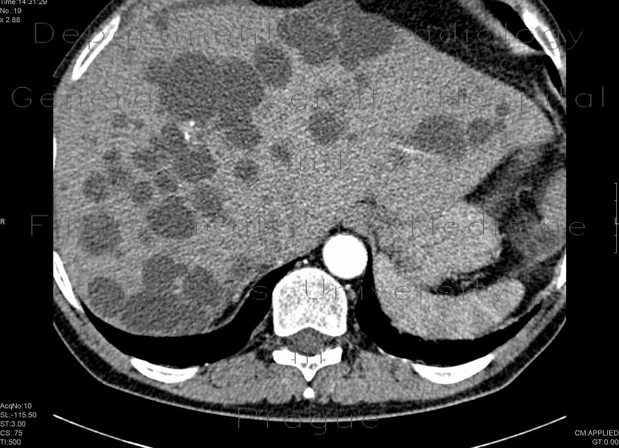
Mutliple bilateral cyst replacing parenchyma, both kidneys are enlarged. Multiple cysts in liver.

Radiology image - Polycystosis of kidney and liver: Abdomen, Kidney and adrenals, Liver: CT - Computed tomography

Polycystosis of kidney and liver


Polycystosis of kidney and liver: CT - Computed tomographyPolycystosis of kidney and liver: CT - Computed tomographyPolycystosis of kidney and liver: CT - Computed tomographyPolycystosis of kidney and liver: CT - Computed tomography
lights on off