Kidney laceration

CASE

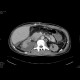
A hematoma in the posterior part of the right kidney, which is not enhancing. Ascites.

Radiology image - Kidney laceration: Abdomen, Kidney and adrenals: CT - Computed tomography

Kidney laceration


Kidney laceration: CT - Computed tomographyKidney laceration: CT - Computed tomography
lights on off