Meningencephalitis, abscessing

CASE

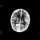
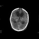
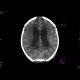
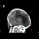
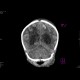
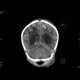
Severe meningecephalitis with oedema of brain parenchyma, markedly enhancing menings and an abscess formation in basal ganglia.

Tags:  Brain  Brain
Radiology image - Meningencephalitis, abscessing: Brain, Brain: CT - Computed tomography

Meningencephalitis, abscessing


Meningencephalitis, abscessing: CT - Computed tomographyMeningencephalitis, abscessing: CT - Computed tomographyMeningencephalitis, abscessing: CT - Computed tomographyMeningencephalitis, abscessing: CT - Computed tomographyMeningencephalitis, abscessing: CT - Computed tomographyMeningencephalitis, abscessing: CT - Computed tomographyMeningencephalitis, abscessing: CT - Computed tomographyMeningencephalitis, abscessing: CT - Computed tomographyMeningencephalitis, abscessing: CT - Computed tomographyMeningencephalitis, abscessing: CT - Computed tomographyMeningencephalitis, abscessing: CT - Computed tomography
lights on off