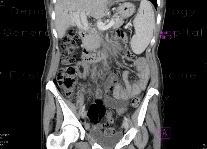
Portal cavernoma

CASE

An enhancing lesion in the hepatoduodenal ligament tracking along biliary ducts into the liver.

Tags:  Abdomen  Liver
Radiology image - Portal cavernoma: Abdomen, Liver: CT - Computed tomography

Portal cavernoma


Portal cavernoma: CT - Computed tomographyPortal cavernoma: CT - Computed tomographyPortal cavernoma: CT - Computed tomographyPortal cavernoma: CT - Computed tomographyPortal cavernoma: CT - Computed tomography
lights on off