Popular Images
Classifications & online calculators in radiology
New site to help fellow radiologists launched!
Good evening
Wednesday, 21 Jan 2026
Supported by
Search images
Administration
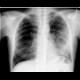
Tuberculosis, TB, endobronchial spread, tree in bud, cavity
CASE
An area of consolidation, centrilobular nodules, some cavitating, tree-in-bud pattern in a patient with tuberculosis.

Tuberculosis, TB, endobronchial spread, tree in bud, cavity (4645)










Click on the main image to enlarge it. Return back by 'Esc' key or [x] button in the right bottom corner