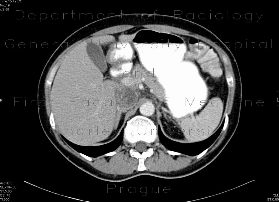
Tumorous mass in vena cava inferior

CASE

Non-homogeneous, slightly enhancing tumorous mass filling and distending the lumen of the inferior vena cava.

Tags:  Abdomen  Vessels
Radiology image - Tumorous mass in vena cava inferior: Abdomen, Vessels: CT - Computed tomography

Tumorous mass in vena cava inferior


Tumorous mass in vena cava inferior: CT - Computed tomographyTumorous mass in vena cava inferior: CT - Computed tomographyTumorous mass in vena cava inferior: CT - Computed tomographyTumorous mass in vena cava inferior: CT - Computed tomographyTumorous mass in vena cava inferior: CT - Computed tomographyTumorous mass in vena cava inferior: CT - Computed tomography
lights on off