
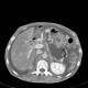
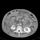
CT shows marked enhancement of the inner layer of colonic wall, edema of bowel wall - both small and large bowel, massive dilatation and tortuosity of mesenteric veins with shunting due to occlusion of superior mesenteric vein. Note also the presence of ascites and decreased density of liver parenchyma due to steatosis.
